Проведем полную диагностику, лечение заболеваний полости рта. Расскажем понятным языком и составим оптимальный план лечения. Лечение пройдет безболезненно, с индивидуальным подходом.
Диагностика, фотопротокол, составление плана лечения.
Возможно составление нескольких альтернативных планов лечения.
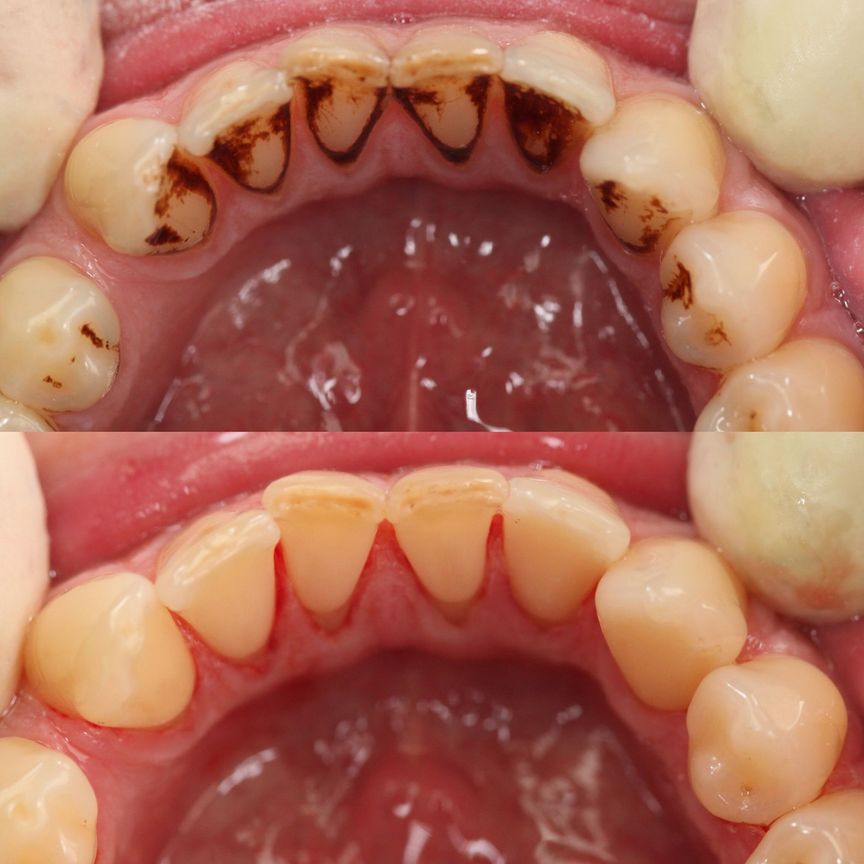
Профессиональная гигиена полости рта
Профессиональная гигиена полости рта должна проводиться минимум 1 раз в год, с заболеваниями пародонта чаще. При необходимости возможно использование обезболивания. Включает в себя обработку при необходимости ультразвуком, пескоструйная обработка аппаратом PROPHYFlex4 специальным мелкодисперсным порошком, полирование щеточками и пастой, минерализация зубов.
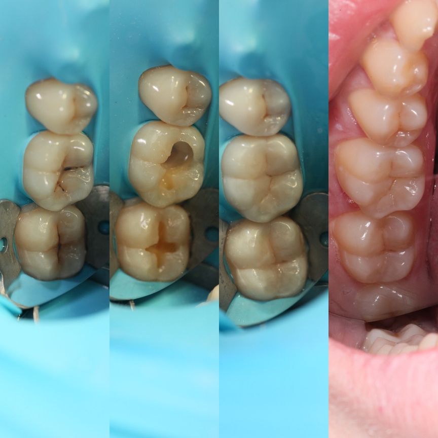
Лечение кариеса
Все виды стоматологического лечения проводятся с использованием изоляции- коффердам, под местной анестезией. Восстанавливается анатомическая форма зуба с использованием композитных материалов.
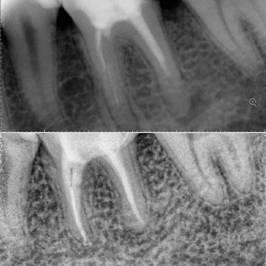
Эндодонтическое лечение
Проводим все виды эндодонтического лечения: первичное, повторное эндо-лечение, удаление обломков инструментов, пломбирование гуттаперчей с использованием вертикальной компакции гуттаперчи. Возможно потребуется дополнительный вид обследования перед лечением- Компьютерная томография у наших партнеров- лаборатории Пикассо.
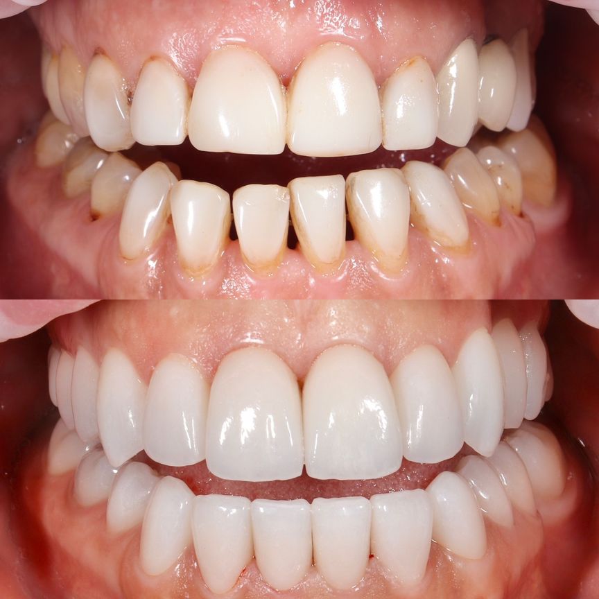
Протезирование
Проводим протезирование как отдельных зубов, так и комплексное восстановление полости рта с диагностикой сустава, определением ЦС.
Хирургия
Все виды удаления зубов, включая удаления "зубов мудрости". Хирургия мягких тканей, апикальная хирургия, пародонтологическая хирургия. Имплантация зубов.
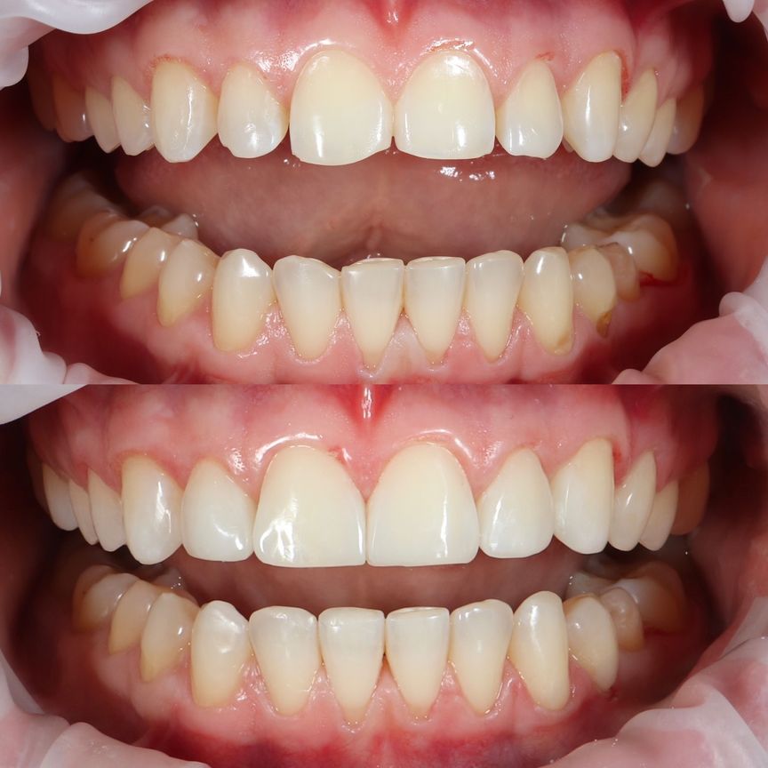
Реставрация композитным материалом без обточки зубов
Для коррекции формы и цвета стертых зубов, особенно после завершения ортодонтического лечения, необязательно зубы обтачивать. Иногда достаточно обработать поверхность специальным аппаратом Rondoflex- тогда адгезия будет достаточной. Также аппарат можно использовать для лечения малоинвазивного кариеса, герметизации фиссур.